We Offer the Best Invisalign Pricing
in Auburn, WA
Invisalign Treatment for only $3,997 (Regularly $6,297) + Free Whitening!
Transform your smile with Dr. Lindsey Papac, a Top 1% Diamond Invisalign Provider. Great Northwest Dental offers comfortable, nearly invisible clear aligners that straighten your teeth more quickly than traditional braces – often in as little as 9 months!
Not quite ready to schedule a consultation? Have more questions? Well, we have answers. Reach out to our team today.





Straighten Your Smile in 3 Steps
Meet with Dr. Lindsey Papac to discuss your smile goals. We’ll take digital scans (no messy impressions!) and create a custom Invisalign treatment plan.
1. Free Consultation and Smile Assessment
Meet with Dr. Lindsey Papac to discuss your smile goals. We’ll take digital scans (no messy impressions!) and create a custom Invisalign treatment plan.
2. Custom Aligners & Treatment Timeline
Receive your custom-crafted, clear aligners designed to shift your teeth gradually and comfortably into perfect alignment.
3. Ongoing Progress & Final Results
Swap out aligners every 1-2 weeks as your smile transforms. With fewer office visits than braces, you’ll enjoy a hassle-free experience and faster results!
Most patients complete treatment in as little as 9-18 months!

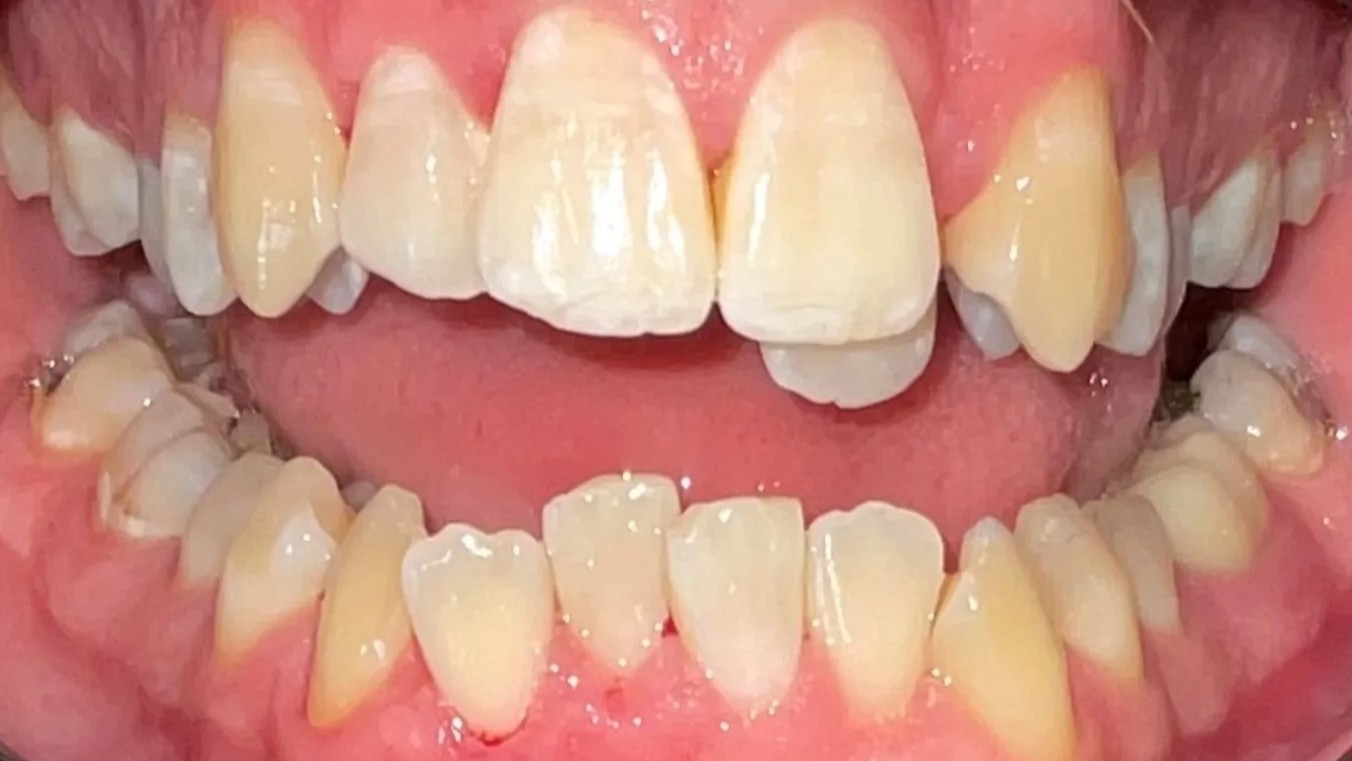
Real Invisalign Transformations
Nothing speaks louder than real patient success stories! At Great Northwest Dental, we’ve helped countless patients achieve their dream smiles with Invisalign. Check out these amazing before-and-after results!
Before & After Gallery






Faster, More Comfortable, and Nearly Invisible!
Make This The Year You Get Your Dream Smile!
You’re just one step away from achieving the confident, straight smile you’ve always wanted – without the hassle of braces! Dr. Lindsey Papac and the team at Great Northwest Dental are here to make your Invisalign journey fast, comfortable, and affordable.
Special Offer:
Discover How Invisalign Can Transform Your Smile



